ATP5G2, anti-human, mouse, rat
€0.00
In stock
SKU
ABT-C14598
Catalog Number: ABT-C14598
Sizes: 50 μL, 100 μl
Isotype: Rabbit IgG
Applications: WB, IHC, IF, ELISA
Information
Request Manual
Questions? Contact us!
Sizes: 50 μL, 100 μl
Isotype: Rabbit IgG
Applications: WB, IHC, IF, ELISA
Information
Request Manual
Questions? Contact us!
Synonyms: ATP5G2; PSEC0033; ATP synthase lipid-binding protein; mitochondrial; ATP synthase proteolipid P2; ATPase protein 9; ATPase subunit c
Immunogen:
The antiserum was produced against synthesized peptide derived from human ATP5G2. AA range:1-50
Modifications: Unmodified/Total
MW (kDa): 20kD
NCBI Gene Symbol: ATP5G2
Swiss Prot No.: Q06055
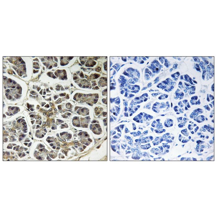
Application Dilutions: WB 1:500-2000 IHC 1:100 - 1:300. ELISA: 1:40000. IF 1:50-200
Purification:
The antibody was affinity-purified from rabbit antiserum by affinity-chromatography using epitope-specific immunogen.
Liquid in PBS containing 50% glycerol, 0.5% BSA and 0.02% sodium azide.
Storage: Store at -20°C/1 year
Immunogen:
The antiserum was produced against synthesized peptide derived from human ATP5G2. AA range:1-50
Modifications: Unmodified/Total
MW (kDa): 20kD
NCBI Gene Symbol: ATP5G2
Swiss Prot No.: Q06055
Application Dilutions: WB 1:500-2000 IHC 1:100 - 1:300. ELISA: 1:40000. IF 1:50-200
Purification:
The antibody was affinity-purified from rabbit antiserum by affinity-chromatography using epitope-specific immunogen.
Liquid in PBS containing 50% glycerol, 0.5% BSA and 0.02% sodium azide.
Storage: Store at -20°C/1 year
| Is Featured? | No |
|---|
Write Your Own Review