ACAD-10, anti-human, mouse, rat
€0.00
In stock
SKU
ABT-C14253
Catalog Number: ABT-C14253
Sizes: 50 μL, 100 μl
Isotype: Rabbit IgG
Applications: IHC, IF, WB, ELISA
Information
Request Manual
Questions? Contact us!
Sizes: 50 μL, 100 μl
Isotype: Rabbit IgG
Applications: IHC, IF, WB, ELISA
Information
Request Manual
Questions? Contact us!
Synonyms: ACAD10; Acyl-CoA dehydrogenase family member 10; ACAD-10
Immunogen:
The antiserum was produced against synthesized peptide derived from human ACAD10. AA range:231-280
Modifications: Unmodified/Total
NCBI Gene Symbol: ACAD10
Swiss Prot No.: Q6JQN1
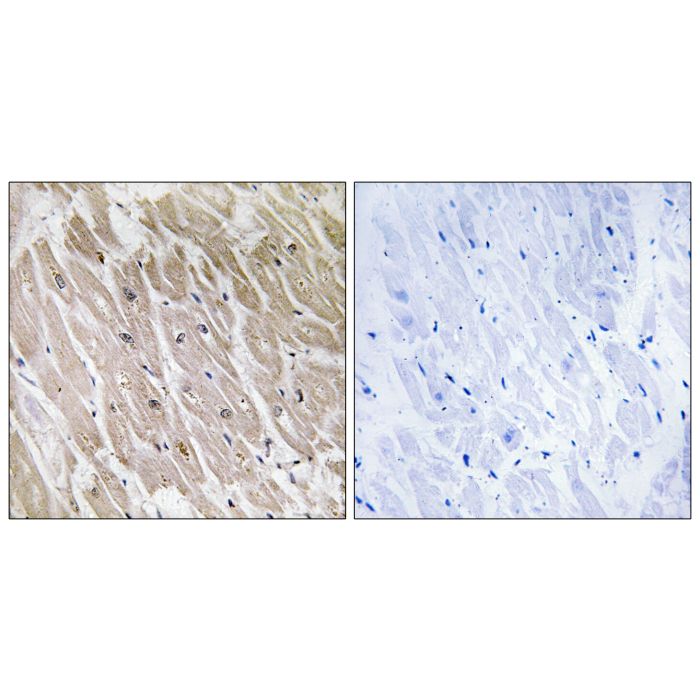
Application Dilutions: WB 1:500-2000 IHC 1:100 - 1:300. ELISA: 1:40000.. IF 1:50-200
Purification:
The antibody was affinity-purified from rabbit antiserum by affinity-chromatography using epitope-specific immunogen.
Liquid in PBS containing 50% glycerol, 0.5% BSA and 0.02% sodium azide.
Storage: Store at -20°C/1 year
Immunogen:
The antiserum was produced against synthesized peptide derived from human ACAD10. AA range:231-280
Modifications: Unmodified/Total
NCBI Gene Symbol: ACAD10
Swiss Prot No.: Q6JQN1
Application Dilutions: WB 1:500-2000 IHC 1:100 - 1:300. ELISA: 1:40000.. IF 1:50-200
Purification:
The antibody was affinity-purified from rabbit antiserum by affinity-chromatography using epitope-specific immunogen.
Liquid in PBS containing 50% glycerol, 0.5% BSA and 0.02% sodium azide.
Storage: Store at -20°C/1 year
| Is Featured? | No |
|---|
Write Your Own Review