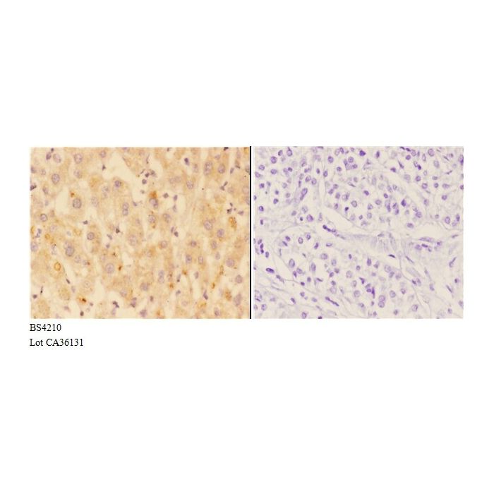
ACCα (phospho-S80) polyclonal, anti-human, mouse, rat
€328.00
In stock
SKU
BS4210
Background:
Acetyl-CoA carboxylase (ACC) is a complex multifunctional enzyme system which catalyzes the carboxylation of acetyl-CoA to malonyl-CoA, the ratelimiting step in fatty acid synthesis. Exercise diminishes the activity of acetyl- CoA carboxylase in human muscle. ACCα (ACC1) is the rate-limiting enzyme in the biogenesis of long-chain fatty acids, and ACCβ (ACC2) may control mitochondrial fatty acid oxidation. These two isoforms of ACC control the amount of fatty acids in the cells. The catalytic function of ACCα is regulated by phosphorylation (inactive) and dephosphorylation (active) of targeted Serine residues and by allosteric transformation by citrate or palmitoyl-CoA, which serve as the short-term regulatory mechanism of the enzyme. The gene encoding ACCα, which maps to human chromosome 17, encodes the 265 kDa α form of ACC, which is the major ACC in lipogenic tissues. The catalytic core of ACCβ is homologous to that of ACCα except for an additional peptide of about 150 amino acids at the N-terminus.
Alternative Name:
Acetyl-CoA carboxylase 1, Short name=ACC1, ACC-alpha, Biotin carboxylase, ACACA, ACAC, ACC1, ACCA
Application Dilution: WB: 1:500~1:1000, IHC: 1:50~1:200
Specificity: p-ACCα (S80) polyclonal antibody etects endogenous levels of ACCα protein only when phosphorylated at Ser80.
Immunogen:
Synthetic phosphopeptide derived from human ACCα around the phosphorylation site of Serine 80.
MW: ~ 265 kDa
Swis Prot.: Q13085
Purification & Purity:
The antibody was affinity-purified from rabbit antiserum by affinity-chromatography using epitope-specific immunogen and the purity is > 95% (by SDS-PAGE).
Format:
1 mg/ml in Phosphate buffered saline (PBS) with 0.05% sodium azide, approx. pH 7.2.
Storage:
Store at 4°C short term. Aliquot and store at -20°C long term. Avoid freeze-thaw cycles.
For research use only, not for use in diagnostic procedure.
Acetyl-CoA carboxylase (ACC) is a complex multifunctional enzyme system which catalyzes the carboxylation of acetyl-CoA to malonyl-CoA, the ratelimiting step in fatty acid synthesis. Exercise diminishes the activity of acetyl- CoA carboxylase in human muscle. ACCα (ACC1) is the rate-limiting enzyme in the biogenesis of long-chain fatty acids, and ACCβ (ACC2) may control mitochondrial fatty acid oxidation. These two isoforms of ACC control the amount of fatty acids in the cells. The catalytic function of ACCα is regulated by phosphorylation (inactive) and dephosphorylation (active) of targeted Serine residues and by allosteric transformation by citrate or palmitoyl-CoA, which serve as the short-term regulatory mechanism of the enzyme. The gene encoding ACCα, which maps to human chromosome 17, encodes the 265 kDa α form of ACC, which is the major ACC in lipogenic tissues. The catalytic core of ACCβ is homologous to that of ACCα except for an additional peptide of about 150 amino acids at the N-terminus.
Alternative Name:
Acetyl-CoA carboxylase 1, Short name=ACC1, ACC-alpha, Biotin carboxylase, ACACA, ACAC, ACC1, ACCA
Application Dilution: WB: 1:500~1:1000, IHC: 1:50~1:200
Specificity: p-ACCα (S80) polyclonal antibody etects endogenous levels of ACCα protein only when phosphorylated at Ser80.
Immunogen:
Synthetic phosphopeptide derived from human ACCα around the phosphorylation site of Serine 80.
MW: ~ 265 kDa
Swis Prot.: Q13085
Purification & Purity:
The antibody was affinity-purified from rabbit antiserum by affinity-chromatography using epitope-specific immunogen and the purity is > 95% (by SDS-PAGE).
Format:
1 mg/ml in Phosphate buffered saline (PBS) with 0.05% sodium azide, approx. pH 7.2.
Storage:
Store at 4°C short term. Aliquot and store at -20°C long term. Avoid freeze-thaw cycles.
For research use only, not for use in diagnostic procedure.
| Is Featured? | No |
|---|
Write Your Own Review